Viser vei i lungelabyrinten
Kunstig intelligens og 3D-modeller gir legene en virtuell reise gjennom pasientens lunger. Det redder liv.
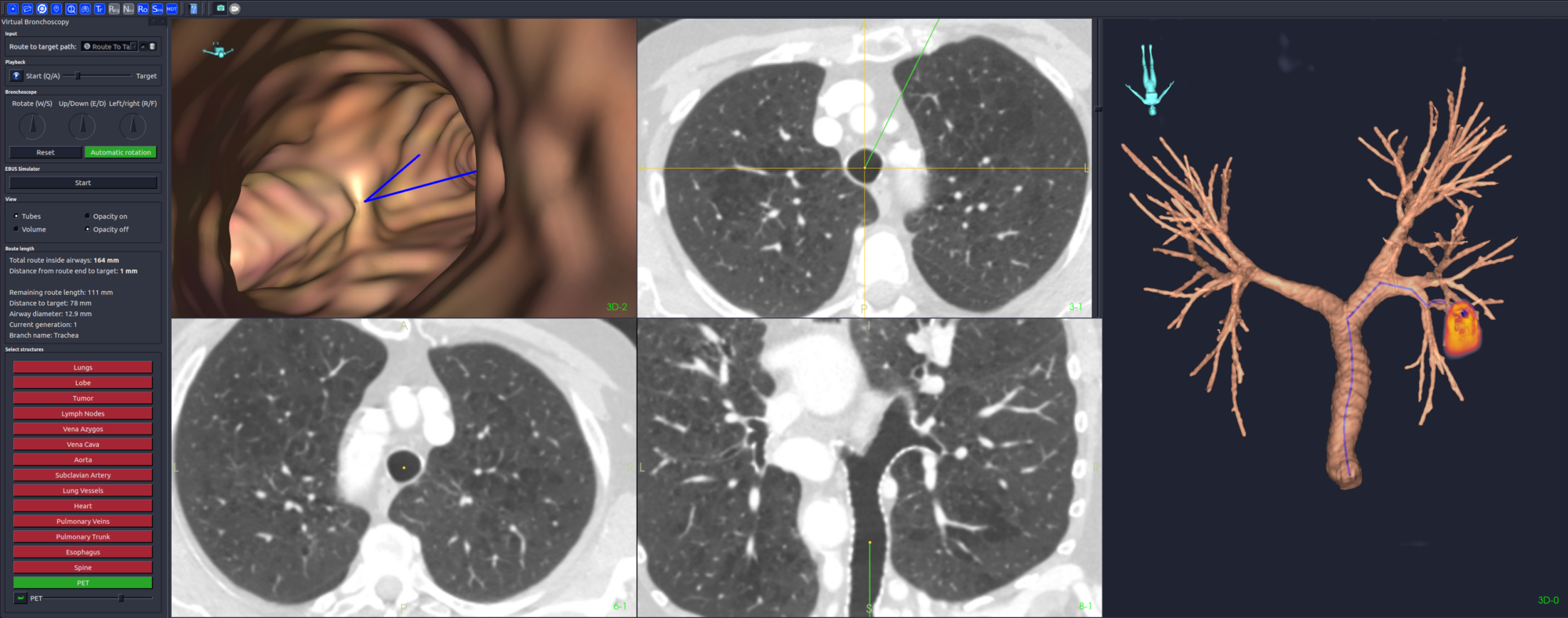
På en skjerm foran oss lyser et bilde av luftrørets indre. Glinsende, levende, og forstørret. Et bronkoskop, en tynn slange med et 2 millimeter lite kamera i tuppen, manøvreres sakte gjennom luftveiene, som en utforsker i kroppens egne labyrinter.
På en annen skjerm vises CT-bilder, anatomiske 3D-modeller og fargekodede markører. Dette er ikke bare en medisinsk undersøkelse, det er presisjonsnavigasjon i sanntid, og det skjer her og nå, på et behandlingsrom i Trondheim.
Prosjektet heter Fraxinus, og bak står et tett og mangeårig samarbeid mellom SINTEF, NTNU og St. Olavs hospital. Målet er å forbedre planlegging og gjennomføring av bronkoskopi, altså prosedyren der man fører en slange med kamera ned i lungene for å undersøke og ta prøver. Vevsprøven er nøkkelen til riktig og ofte persontilpasset behandling mot svulsten.
Et bronkoskop er en fleksibel kikkertslange med et kamera og lys i enden, som brukes til å undersøke luftveiene. Foto: Karoline Ravndal Lorentzen
Dette er splitter ny teknologi i bruk: Sanntidsbilder fra bronkoskopet sammenstilles med den digitale modellen, og gir legene et veikart gjennom lungens forgreninger, som kan dele seg opptil 23 ganger før de ytterste lungeblærene nås.
I disse områdene skjuler mange svulster seg, utilgjengelige for tradisjonell nålebiopsi.
GPS-system for lungene
Lungekreft er blant de dødeligste kreftformene. Nå har forskere og klinikere i Trondheim utviklet et verktøy som gir legene et slags GPS-system. Det gjør undersøkelsen av lungene både tryggere og mer presis.
– I dag må legene ofte navigere etter todimensjonale røntgenbilder og sin egen hukommelse. Med denne teknologien kan de planlegge prosedyren med en automatisk dataskapt 3D-modell fra røntgenbilder av pasientens lunger. Slik får de langt bedre forståelse av hvor de skal, sier Thomas Langø, sjefsforsker ved SINTEF.
Overlege Håkon Leira ved St. Olavs hospital har brukt systemet i praksis.
– Den gjør det mulig for oss å finne veien frem til små svulster langt ute i lungene. Det gjør at vi kan benytte den mest skånsomme metoden for prøvetaking fremfor det mer risikable alternativet med nålebiopsi gjennom brystveggen. Noen ganger er det også den eneste muligheten vi har for å få en prøve.
– I dag må legene ofte navigere etter todimensjonale røntgenbilder og sin egen hukommelse. Med denne teknologien kan de planlegge prosedyren med en automatisk dataskapt 3D-modell fra røntgenbilder av pasientens lunger.
KI gjør viktig del av jobben
Pasienten ligger på ryggen mens lyset fra skjermene gir et lett blåskjær over ansiktet. Legen forklarer hva som skjer mens bronkoskopet føres forsiktig inn gjennom munnen og videre ned i luftrøret. En hoste bryter stillheten idet lokalbedøvelsen treffer slimhinnene, men den gir seg raskt.
Et lite team arbeider tett rundt pasienten, hver med sin oppgave. En hånd på skulderen og et blikk mot monitoren. For pasienten er det kanskje første gang, men det er tydelig at det er rutine for teamet.
Fraxinus bruker kunstig intelligens til å analysere CT-bildene av pasienten, og kan automatisk identifisere mellom ti og 15 anatomiske strukturer som luftveier, blodårer, lymfeknuter og eventuelle svulster. Tidligere måtte denne merkingen gjøres manuelt. Nå går det på sekunder.
– Du får rett og slett en tredimensjonal pasientmodell, hvor du kan planlegge hele veien frem til området man ønsker å ta en biopsi av, forklarer Erlend Fagertun Hofstad, teknolog og utvikler i prosjektet.
– Dette øker treffsikkerheten dramatisk, og gjør det enklere å huske ruten underveis i prosedyren.
Livsviktig for pasienten
Å ta vevsprøve gjennom brystveggen er både dyrt og innebærer høy risiko. Det gir komplikasjoner i opptil 15 prosent av tilfellene. Til sammenligning har bronkoskopi under én prosent risiko for komplikasjoner. Her går man inn via luftveiene, noe som både er tryggere og mindre ressurskrevende.
Med hjelp av sanntidsbilder, bronkoskop og kunstig intelligens, navigerer Arne Kildahl-Andersen og Marit Tjelle Setvik millimeter for millimeter gjennom pasientens luftveier. Foto: Karoline Ravndal Lorentzen
– Utfordringen er å finne veien dit man skal. Fraxinus hjelper legen å planlegge, visualisere i 3D og huske ruten, og teknologien er allerede i bruk i utprøving på flere norske sykehus, sier Langø.
For pasientene kan verktøyet få stor betydning – selv om det foreløpig mest brukes til planlegging.
– Fraxinus er fortsatt et forskningsverktøy og brukes ikke under selve prosedyren, utenom i etisk godkjente forskningsprosjekter. Men pasientene merker jo at vi klarer å ta en prøve der vi ellers kanskje ville gitt opp. Det gjør en stor forskjell, sier Leira.
– Dette øker treffsikkerheten dramatisk, og gjør det enklere å huske ruten underveis i prosedyren.
Han trekker frem konkrete situasjoner der teknologien har endret behandlingsforløpet.
– Når vi finner en liten forandring ute i lungene, kan vi ikke si om den er god- eller ondartet uten vevsprøve. Hvis vi ikke får tatt prøve, må vi enten vente, noe som er belastende og risikabelt, eller gå rett til kirurgi eller stråling. Da risikerer vi å behandle godartede svulster unødvendig. Vi har hatt pasienter i prosjektet hvor systemet har hjulpet oss å få prøver vi ellers ikke ville fått. De slapp både venting og unødvendig behandling, sier han.
Et digitalt veikart for lungene
Systemet gir en «virtuell flyreise» gjennom lungene, og kan på sikt kombineres med navigasjonssystemer, robotikk, posisjonssporing og andre hjelpemidler. Allerede nå har slik teknologi vist seg å kunne doble treffsikkerheten ved bronkoskopi.
– Bare det å planlegge inngrepet med en 3D-modell gir markant forbedring, sier Hofstad.
– I noen studier har treffprosenten gått fra 30 til nesten 60 prosent, uten at man gjør annet enn å forberede seg bedre med 3D-modeller og en virtuell planlegging av veien frem til målet i lungene.
Verdensledende på medisinskteknisk forskning
- Tverrfaglig samarbeid: SINTEF, NTNU og St. Olavs hospital har samarbeidet om medisinsk teknologi i snart 30 år.
- Internasjonalt ledende: Miljøet er verdensledende innen ultralyd, bilde-veiledet behandling og medisinsk programvare.
- Innovasjon og kommersialisering: Over 80 innovasjonsprosjekter, flere kommersialiseringer og etablering av nasjonale forskningssentre.
- Suksesshistorier: Bedrifter som GE Healthcare Ultrasound, SonoWand, SonoClear, NiSonic og UltraTIL.
- Teknologigjennombrudd: Systemer for bildeveiledet kirurgi og bruk av kunstig intelligens i diagnostikk.
Fraxinus springer ut av et langsiktig samarbeid i Trondheim, der teknologer og klinikere har jobbet tett sammen i 30 år. Teknologien bygger på erfaring fra tidligere medisintekniske prosjekter, og illustrerer bredden i Trondheims medisinske innovasjonsmiljø.
– Dette er et skoleeksempel på tverrfaglig forskning, utvikling og innovasjon, sier Langø.
– I noen studier har treffprosenten gått fra 30 til nesten 60 prosent, uten at man gjør annet enn å forberede seg bedre med 3D-modeller og en virtuell planlegging av veien frem til målet i lungene.
– Her kombinerer vi bildeanalyse, programvareutvikling, kunstig intelligens og klinisk forståelse, og målet er hele tiden det samme: Å finne ut om en mistenkelig lesjon er kreft, så raskt og riktig som mulig.
De nyeste funksjonene er under utprøving i samarbeid med norske sykehus, og veien mot klinisk bruk er kortere enn mange tror.
– Vi tror dette blir et viktig verktøy når Norge nå vurderer å innføre screeningprogram for lungekreft. Da trenger vi både kapasitet og treffsikkerhet, og det er akkurat det Fraxinus kan bidra med, sier Hofstad.
Ser fremover
I neste fase av prosjektet jobbes det også med å utvikle en ultralydprobe som er liten nok til å nå helt ut i lungens ytterste forgreninger, de «siste tre centimeterne» der svulster ofte gjemmer seg.
– De ytterste områdene i lungene er de vanskeligste å nå, men også der over halvparten av svulstene sitter.
Dette er fortsatt på utviklingsstadiet, men kan på sikt gi legene mulighet til å se og navigere helt frem til målet, og kanskje også gjennomføre prøvetaking enda mer presist.
– De ytterste områdene i lungene er de vanskeligste å nå, men også der over halvparten av svulstene sitter, sier Langø.
– Å kunne se og manøvrere helt dit vil være et viktig neste steg.
Tilbake på skjermen ser vi bronkoskopet bevege seg sakte, styrt med millimeterpresisjon mot en liten, mistenkelig flekk langt ute i lungene. Noen vevsprøver tas, og deretter er undersøkelsen over. Vi blir vist ut av undersøkelsesrommet. Et rom der teknologi ikke bare forsterker legens blikk, men gjør det mulig å se, forstå og handle før det er for sent.

